Pulse logo
Pulse Region
PUBLICITÉ

Tu as des dents jaunes ? Voici pourquoi !

Dans un monde où un sourire éclatant peut laisser une impression inoubliable, le jaunissement des dents peut être une source d'inquiétude et de gêne pour de nombreuses personnes. Mais pourquoi les dents jaunissent-elles ? Quelles en sont les causes sous-jacentes et que peut-on faire pour leur redonner leur éclat nacré ? 
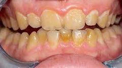
Dents jaunes
Dents jaunes

Pulse se penche sur la « science du jaunissement » des dents et explore des solutions efficaces pour un sourire plus éclatant.

Pour comprendre pourquoi les dents jaunissent, il est essentiel de comprendre la structure d'une dent. La couche la plus externe, l'émail, est une couche protectrice translucide dont la couleur varie naturellement du blanc au jaune clair. Sous l'émail se trouve la dentine, qui est généralement jaunâtre. La couleur de vos dents est déterminée par la combinaison de ces deux couches.

Causes courantes du jaunissement des dents

PUBLICITÉ

Plusieurs facteurs contribuent au jaunissement des dents au fil du temps :

Recommandé Pour Vous
LifestyleSanté-femme
2025-10-13T09:39:13+00:00
L’insomnie chronique, qui touche des millions de personnes dans le monde, ne se limite pas à des nuits blanches et à la fatigue du lendemain. Une nouvelle étude parue dans la revue Neurology révèle qu’elle pourrait favoriser le vieillissement cérébral et accroître le risque de déclin cognitif. Un signal fort qui rappelle l’importance du sommeil comme pilier de santé publique.
  • Aliments et boissons colorants

La consommation d'aliments de couleur foncée comme les baies, le café, le thé et le vin rouge, ou le tabagisme peuvent entraîner des taches superficielles sur l'émail.

PUBLICITÉ
  • Mauvaise hygiène bucco-dentaire

Négliger le brossage régulier des dents et l'utilisation du fil dentaire peut entraîner l'accumulation de plaque et de tartre, ce qui peut décolorer les dents.

  • Le vieillissement
PUBLICITÉ

Avec l'âge, l'émail des dents s'amincit naturellement, laissant apparaître la dentine jaunâtre qui se trouve en dessous.

  • La génétique

Certaines personnes sont génétiquement prédisposées à avoir des dents de couleur jaunâtre.

PUBLICITÉ
  • Médicaments

Certains médicaments, tels que les antibiotiques de type tétracycline, peuvent provoquer une décoloration des dents s'ils sont pris pendant leur développement.

  • Conditions médicales
PUBLICITÉ

Certaines conditions médicales, comme l'hypoplasie de l'émail ou la fluorose, peuvent entraîner une décoloration des dents.

Des solutions efficaces pour des dents plus blanches

La bonne nouvelle, c'est qu'il existe plusieurs moyens de lutter contre le jaunissement des dents et d'obtenir un sourire plus éclatant :

PUBLICITÉ
  • Blanchiment professionnel des dents

Les dentistes proposent des procédures de blanchiment des dents sûres et efficaces qui peuvent améliorer considérablement la couleur de vos dents.

  • Kits de blanchiment à domicile
PUBLICITÉ

Les kits de blanchiment des dents en vente libre, y compris les bandes et les gels, peuvent donner des résultats notables avec une utilisation régulière.

  • Maintenir une bonne hygiène bucco-dentaire

Le brossage des dents, l'utilisation du fil dentaire et des examens dentaires réguliers peuvent prévenir l'apparition de nouvelles taches et préserver la santé bucco-dentaire en général.

PUBLICITÉ
  • Limiter les substances colorantes

Réduisez votre consommation d'aliments et de boissons connus pour tacher les dents et envisagez d'utiliser une paille lorsque vous buvez des boissons qui peuvent décolorer l'émail.

  • Soins dentaires esthétiques
PUBLICITÉ

Pour les cas graves de décoloration des dents, des options telles que les facettes dentaires ou le collage peuvent apporter des améliorations durables.

Enfin…

N'oubliez pas que la consultation d'un dentiste est la première étape dans la détermination de la meilleure approche pour répondre à vos besoins spécifiques.

PUBLICITÉ

Abonnez-vous pour recevoir des mises à jour quotidiennes.