L'incident s'est déroulé en Italie, où un homme a été admis d'urgence après avoir été victime d'un accident de moto. Il souffrait d'un énorme hématome dans le scrotum, provoqué par des saignements provenant des veines et des artères, qui s'étaient accumulés dans les tissus environnants. L'équipe médicale a immédiatement concentré ses efforts sur l'arrêt des saignements et sur la prise en charge des fractures étendues au niveau du bassin, tout en s'assurant de l'intégrité de la vessie du patient.
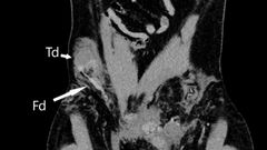
Après avoir réussi à maîtriser l'hémorragie et stabiliser le patient, les médecins se sont penchés sur le cas particulier de la disparition d'un testicule. Des examens médicaux approfondis ont révélé que le testicule droit du patient s'était retrouvé dans son abdomen à la suite de l'impact, où il avait été poussé à travers le canal inguinal, une structure de 4 à 6 cm de long reliant l'abdomen au scrotum. Ce cas extraordinaire a été documenté dans un rapport publié dans le prestigieux BMJ Case Reports.
La luxation testiculaire, bien que rare, est une complication connue chez les hommes ayant des accidents de moto, en particulier chez ceux dans la vingtaine. Cependant, la migration du testicule vers l'abdomen ne survient que dans environ 6 % des cas, ce qui rend ce cas particulièrement exceptionnel.
Heureusement, les médecins ont réussi à remettre en place le testicule en effectuant une intervention chirurgicale. Après une période de six mois de récupération, le patient a retrouvé la santé.
Cette histoire souligne l'importance de la réactivité des professionnels de la santé dans les situations d'urgence et met en lumière la capacité de la médecine moderne à résoudre des cas médicaux exceptionnels, même dans des circonstances aussi inhabituelles.


&format=jpeg)
&format=jpeg)